Radiography
Radiography has played a vital role in the assessment of orthopaedic problems for decades and although other modalities have been developed such as CT and MRI radiography has and will remain the cornerstone of orthopaedic imaging. Having completed my RCVS Certificate in Radiology in 2002 I have maintained a strong interest in all forms of imaging not just for my orthopaedic case load but with a wider interest as well, as such I encourage the submission of radiographs for second opinions and within reason we do not charge for this, neither do we try and make the charge up elsewhere. Below are some good examples of interesting imaging cases.
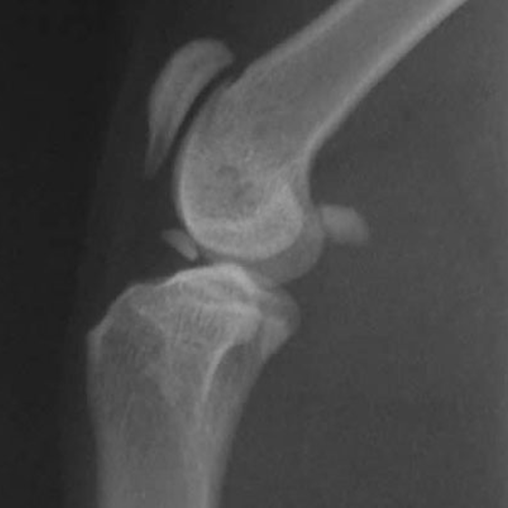
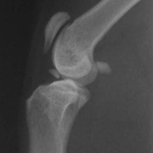
Pat.

Benign ulna lesion

Discospondylitis in a Boxer

OCD in a cat

Panosteitis in a GSD puppy